Usuwanie zębów – nietypowy przypadek
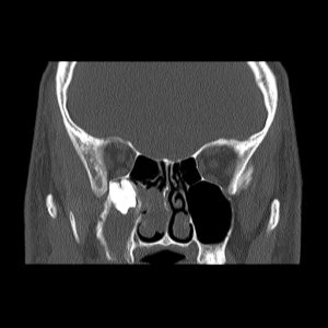
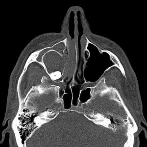
Ekstrakcja, czyli inaczej usuwanie zębów, to jeden z podstawowych zabiegów w zakresie chirurgii stomatologicznej. Wykonywany jest w znieczuleniu miejscowym – prawidłowo podane uwalnia od bólu w stu procentach. Od każdej reguły zdarzają się jednak wyjątki. Oto właśnie taki. Prawa górna ósemka znajduje się pod dnem oczodołu, w świetle zatoki szczękowej (przy okazji zacienienie widoczne na zdjęciach może świadczyć o jej przewlekłym zapaleniu). W takim przypadku o „miejscówce” w ogóle nie było mowy. Żaden chirurg nie zgodziłby się na usunięcie tej ósemki w znieczuleniu miejscowym. Pacjent został przyjęty na Oddział Chirurgii Szczękowo-Twarzowej Uniwersyteckiego Szpitala Klinicznego w Opolu i tam, w warunkach bloku operacyjnego, został zoperowany w znieczuleniu ogólnym.









